El caso de un bebe recién nacido que ha dejado en total asombro al mundo entero, luego de los doctores en Estados Unidos, específicamente en Boston, lograron salvar su vida de esta pequeña mediante una cirugía fetal.
Kenyatta Coleman la madre de la bebé, comento que la ecografía anatómica realizada arrojo resultados normales, incluso le realizaron pruebas genéticas a ella y categorizaron mi embarazo como de bajo riesgo, la mujer expreso: “Honestamente, pensamos que la pequeña se encontraba en perfectas condiciones”.
Pese a todo estos exámenes, las cosas cambiaron cuando Kenyatta se realizó una ecografía a las 30 semanas de embarazo, la mujer recuerda que su médico le dijo que algo no estaba bien en su bebe, pues su celebró no se encontraba dentro de los parámetros normales y que también su corazón está muy grande.
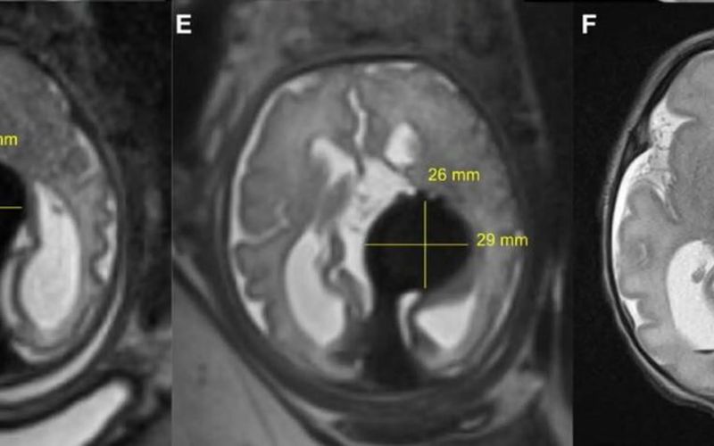
Luego de hacer varios estudios, los resultados no fueron los mejores, arrojaron que la menor tenía la malformación de la vena Galeno (VOGM) algo muy preocupante, después de recibir esta triste noticia los médicos me comentaron sobre una cirugía que se podría llegar a practicar a mi pequeña bebe dentro de mi vientre y los posibles riesgos que pudiera tener.

La madre disidió aceptar el procedimiento, este se llevó a cabo por el equipo de Boston Children’s Hospital y el Massachusetts, en Estados Unidos.
Los especialistas para poder llevar a cabo la cirugía tuvieron que asegurarse que el feto estuviera en la posición correcta, los cirujanos cortaron el útero, para luego proceder a realizar una pequeña incisión en su cráneo y finalmente corregir esta malformación.
El radiólogo Darren Orbach de Boston Children’s Hospital expreso su felicidad y dijo a CNN “Fue algo muy emocionante en el momento en que nos dimos cuenta del éxito técnico al ejecutar la embolización”, la bebé nació a los pocos días de haberse hecho esta cirugía, ella nació sin defectos congénitos y complicaciones limitadas, tuvo un peso de 4 libras 1 onza, «la escuché llorar fue un momento muy hermoso, y más hermoso poder abrazarla y mirarla» dijo la madre de la pequeña.
Tres semanas después de su nacimiento mediante una resonancia magnética, los médicos pudieron ver que la pequeña no necesitaba asistencia cardiovascular, pues no mostró flujos sanguíneos anormales.
Leave a comment